I’m a research software engineer at the ULiège Montefiore Institute in the Cytomine team and one of the main contributors to the Cytomine software, a complete web application to foster active and distributed collaboration in multidisciplinary teams and ease multi-giga pixel imaging data exploitation.
My research interests include large-scale web development, open-source software, machine and deep learning and dataset design, especially in digital pathology and bioimage analysis.
As full-stack engineer, I’ve added new Cytomine modules at all levels: front-end (web technologies), back-end, databases, container application deployment, artificial intelligence tools and their reproducible benchmarking.
I’ve been involved in projects at Wallonia level (ADRIC, DeepSport) and at European level (NEUBIAS, BigPicture).
See ORBi for detailed list
Image analysis is currently one of the major hurdles in the bioimaging chain, especially for large datasets. BIAFLOWS seeds the ground for virtual access to image analysis workflows running in high-performance computing environments. Providing a broader access to state-of-the-art image analysis is expected to have a strong impact on research in biology, and in other fields where image analysis is a critical step in extracting scientific results from images. BIAFLOWS could also be adopted as a federated platform to publish microscopy images together with the workflows that were used to extract scientific data from these images. This is a milestone of open science that will help to accelerate scientific progress by fostering collaborative practices.
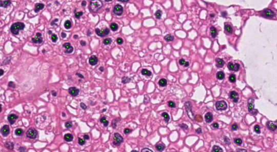
Digital histology is being increasingly used in research and clinical applications. In parallel, new tissue imaging methods (e.g., imaging mass spectrometry) are currently regarded as very promising approaches for better molecular diagnosis in pathology. However, these new data sources are still often underexploited because of the lack of collaborative software to share and correlate information for multimodal analysis. We propose new features in the web‐based Cytomine software to support next‐generation digital pathology bridged to molecular investigations.